029-836-6480
24時間WEB予約
HOME
症例集
ブログ
ドクター紹介
アクセス
お知らせ
初めての方へ
医院設備紹介
当院について
料金・お支払い
診療メニュー
インプラント治療
オールセラミック審美歯科治療
矯正歯科
虫歯治療
予防歯科
根管治療
歯周病治療
ホワイトニング
口腔外科
入れ歯
小児歯科
茨城県つくば市の歯医者「オーバデンタルクリニック」
〒305-0881 茨城県つくば市みどりの2-40-14
©茨城県つくば市の歯医者|「オーバデンタルクリニック」
HOME
初めての方へ
当院について
ドクター紹介
医院設備紹介
インプラント治療
矯正歯科
オールセラミック審美歯科治療
診療メニュー
料金・お支払い
アクセス
電話予約
気軽にご連絡ください
WEB予約
24時間受付中
アクセス
診療時間
Home
>
症例
>
2026年
>
1月
症例
審美歯科治療
2026-01-15
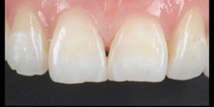
治療前
治療後
前歯の隙間を治したい
担当医
大場 祐輔
主訴
前歯の隙間を治したい
期間
60分(時間の余裕があれば当日可能)
費用
6万円 +税
治療内容
正中離開に対し
ダイレクトボンディングを行った。
治療に伴うリスク
変色・劣化
ダイレクトボンディング
前歯の治療
詳細はこちらから
1 / 1
1